日本口腔外科学会
「口腔外科認定医」が
2名在籍で安全な治療
当院には、日本口腔外科学会「認定医」が2名在籍しており、専門的な知識と豊富な臨床経験に基づいた安全な外科処置を行っています。
親知らずの抜歯、顎関節症の治療、口腔内の腫瘍・嚢胞の摘出など、一般歯科では対応が難しい症例にも幅広く対応可能です。
また、「痛みの少ない」治療を心がけ、患者さんの不安を最小限に抑えるための丁寧なカウンセリングと説明を行っています。口腔内のお悩みは一度、当院へご相談ください。
親知らずの抜歯
難易度の高い親知らずの抜歯にも専門的に対応しております。横向きに生えている埋伏智歯(まいふくちし)や、神経や血管に近い位置にある親知らずなど、一般歯科では対応が難しいケースについても、豊富な経験と確かな技術により安全に処置を行っています。
また、CT撮影による精密な診断を行い、術前にリスクや治療の流れを丁寧にご説明いたします。痛みをできるだけ抑えるために、低侵襲(ていしんしゅう)の治療や丁寧な縫合・止血管理を徹底しております。
親知らずの抜歯に不安をお持ちの方や、他院で「難しい」と言われた方も、ぜひ一度ご相談ください。大学病院レベルの技術と設備で、安心・安全な治療をご提供いたします。
日本顎咬合学会
「認定医」による
顎関節症治療
顎関節症は、「咬み合わせの不調和」や「生活習慣」「ストレス」「姿勢の乱れ」など、さまざまな要因が重なり合って顎の関節や筋肉に負担がかかることで生じます。これらの要因は一つだけではなく、複数の原因が組み合わさっている場合が非常に多いのが特徴です。
そのため、顎関節症の改善には、痛みや音の有無だけでなく、日常の習慣や咬み合わせの状態を丁寧に見直し、原因を一つひとつ解決していくことが大切です。顎関節症および咬み合わせの診断・治療に精通した「日本顎咬合学会認定医」が、専門的な知識と経験に基づいて総合的にサポートいたします。
顎の痛みや違和感、口が開きにくいなどの症状でお悩みの方は、どうぞ安心してご相談ください。
顎関節症の治療法
スプリント療法
患者さんの歯型をとり、専用のマウスピース(スプリント)を作成し、就寝中に使用していただきます。このマウスピースが上下の歯の間に入ることで、噛みしめや歯ぎしりによる関節や筋肉への過剰な負担を軽減し、痛みや違和感を和らげることができます。
ただし、スプリント療法はあくまで「症状を緩和するための治療」であり、顎関節症の根本原因(噛み合わせのずれ、ストレス、姿勢の悪さなど)を完全に取り除くものではありません。そのため、定期的な装置の調整や、生活習慣の改善・理学療法など他の治療法と併用することが重要です。
適切に使用すれば、スプリント療法は顎関節への負担を軽減し、症状の進行を防ぐ有効なサポート治療となります。
矯正歯科治療
歯並びや咬み合わせの乱れがあると、上下の歯が正しく咬み合わず、顎の関節や筋肉に偏った力がかかることがあります。こうした状態が長く続くと、顎関節に負担がかかり、痛みや音、口の開けづらさなどの顎関節症を引き起こすことがあります。
このようなケースでは、矯正治療によって歯並びと咬み合わせを正しく整えることで、顎関節への負担を軽減し、症状の改善が期待できます。
矯正によって上下の歯が自然にかみ合う位置に導かれると、顎の動きがスムーズになり、関節や筋肉の緊張が緩和されます。また、噛む力が均等に分散されるため、特定の歯や筋肉だけに負担が集中することがなくなり、顎関節が本来の安定した位置を保ちやすくなります。
矯正治療では、歯並びの見た目だけでなく、機能的な咬み合わせの改善を重視することが大切です。当院では、顎関節の状態や筋肉の動きを考慮しながら、一人ひとりに合わせた治療計画を立て、症状の根本改善を目指します。
詰め物・被せ物の調整
被せ物や詰め物などの補綴物(ほてつぶつ)の高さや形が適切でない場合、咬み合わせのバランスが崩れ、顎関節や咀嚼筋(そしゃくきん)に負担がかかることがあります。このような不調和が続くと、顎の関節や筋肉が緊張し、痛みや開口障害、カクカクといった関節音など、いわゆる顎関節症の症状が現れることがあります。
現在の咬み合わせの状態と顎関節の動きを丁寧に診査し、補綴物の高さや形態が関係しているかを確認します。その上で、咬合面の微調整を行い、左右のバランスが整うよう慎重に調整します。調整によっても症状が改善しない場合は、補綴物そのものを正しい咬合関係に合わせて再製作し、顎関節や筋肉への負担を根本から軽減します。
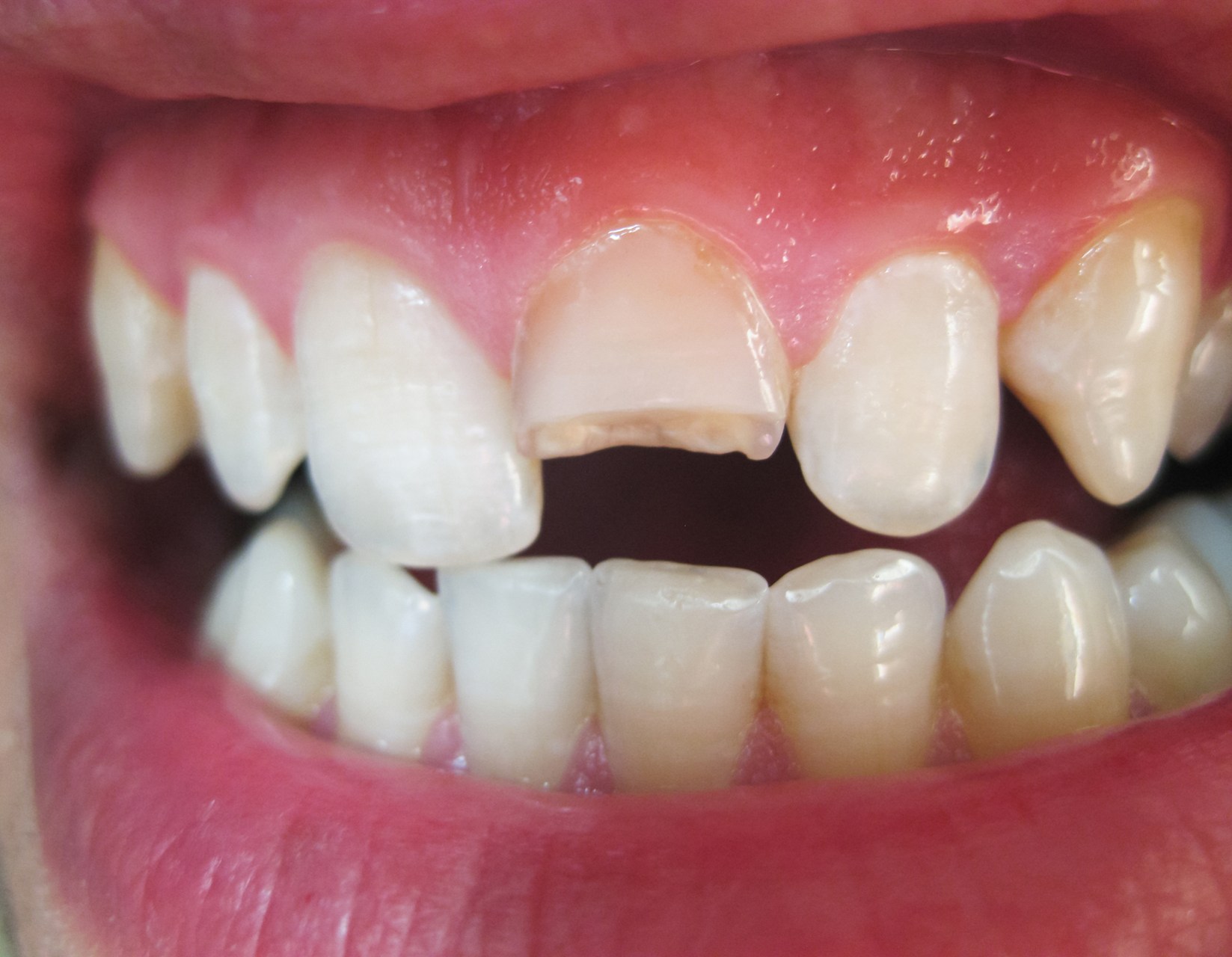
歯の外傷
口腔内外傷とは、交通事故・転倒・スポーツ中の衝突・外的な衝撃などにより、お口の中やその周囲の組織が損傷を受けることを指します。歯の破折(欠ける・割れる)、脱臼(抜け落ちる・ずれる)、歯肉や唇・頬の裂傷、顎の骨折など、症状は多岐にわたります。
見た目の変化だけでなく、噛む・話すといった機能面への影響、さらには精神的なストレスにもつながることがあるため、迅速な対応が重要です。
受傷後は、できるだけ早く歯科医院を受診することで、歯の保存や機能回復の可能性が高まります。当院では日本口腔外科学会「認定医」が、経験に基づいた正確な診断と治療を行い、患者さんの不安に寄り添いながら、最適な処置を提供いたします。もしもの時には、自己判断せずにすぐにご相談ください。
粘液嚢胞
(口内炎・水ぶくれ)
粘液嚢胞は、唾液腺の導管が損傷を受け、唾液が周囲組織に漏れ出すことで形成される良性の腫れです。下唇や舌の裏側に多く発生し、水ぶくれのように見えるのが特徴です。痛みや強い炎症を伴わない場合が多く、自然に小さくなるケースもありますが、再発を繰り返すこともあります。
見た目の違和感や食事・会話への支障を感じる場合は、外科的に嚢胞を除去する処置で改善が期待できます。放置しても命に関わることはほとんどありませんが、繰り返し発生するようであれば、一度ご相談ください。
骨隆起の除去
骨隆起とは、顎の骨の一部が過剰に発達し、歯ぐきの下でコブのように盛り上がった状態を指します。主に歯の裏側や下顎の内側など、咬合圧(噛む力)が強くかかる部分に発生しやすく、特に歯ぎしりや食いしばりの習慣がある方に多く見られます。
骨隆起自体は病気ではありませんが、歯ぐきの薄い部分に現れやすく、白っぽく透けて見えることもあります。症状が進行すると、入れ歯やマウスピースがうまく合わなくなったり、歯ぐきの炎症や知覚過敏を引き起こしたりすることがあります。また、磨き残しが増えることで口腔内の清潔が保ちにくくなるなど、衛生面にも悪影響を及ぼします。
当院では、骨隆起によって入れ歯が合わない、頬や舌がこすれて痛いといったお悩みに対して、外科的な除去処置を行っています。

